写真提供・監修:半田 淳比古
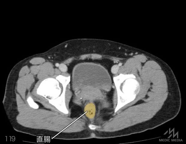
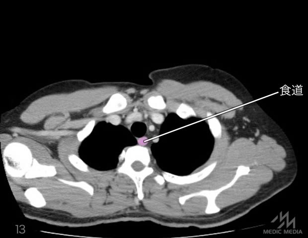
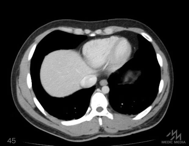
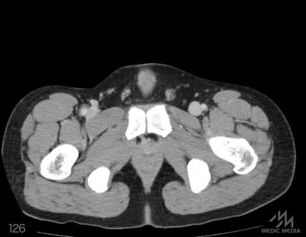
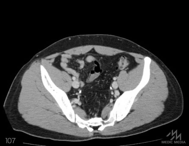
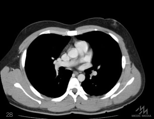
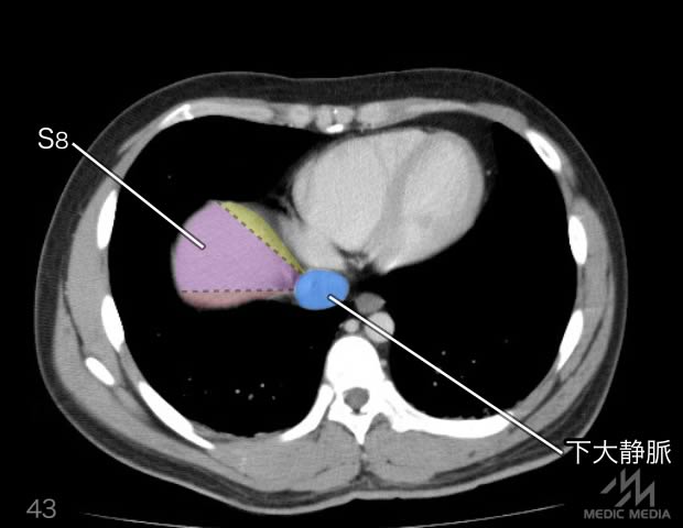
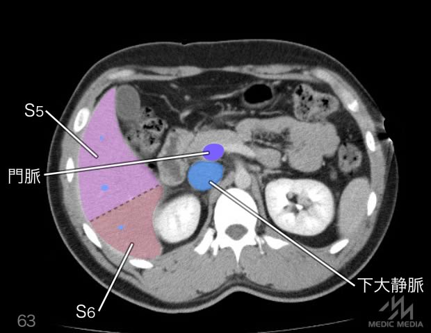
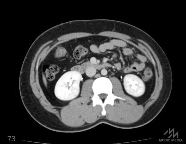
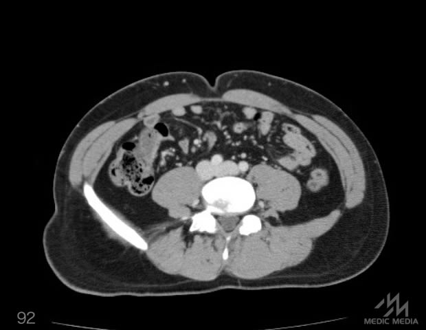
造影CT
・
スライド(画像下)を動かしながら,CTで臓器の位置を確認してみましょう.
0%
造影CT
消化器
肝区域